가을과 겨울철에는 기침과 발열이 흔하다 보니 단순 감기로 넘기기 쉬운데요, 사실은 폐렴의 초기 증상일 수도 있습니다. 저 역시 예전에 단순한 감기인 줄 알고 버티다가 병원에 갔더니 폐렴 진단을 받았던 적이 있어요. 그래서 오늘은 폐렴 증상과 특징을 자세히 알려드릴게요.
목차
- 폐렴 발생의 원인 이해
- 폐렴 단계별 증상
- 감기와 폐렴을 구분하는 포인트
- 폐렴이 생활에 미치는 영향
- 병원에서 확인하는 주요 검사와 진단 과정
- 생활 속 관리와 예방 방법
- 증상 발견 후 대처 전략



폐렴 발생의 원인 이해
폐렴은 폐에 세균, 바이러스, 곰팡이 같은 병원체가 침투해 염증이 생기는 질환이에요. 특히 면역력이 떨어졌을 때 쉽게 걸리며, 노인, 어린이, 만성질환자에게 위험합니다. 감기나 독감이 오래가면서 폐렴으로 악화되는 경우가 많고, 요즘은 코로나 이후에 폐렴으로 이어지는 사례도 종종 보고되고 있어요.
폐렴 단계별 증상
폐렴은 증상이 갑작스럽게 심해지기도 하고, 며칠에 걸쳐 점차 악화되기도 합니다. 단계를 구분해보면 다음과 같아요.
- 전구기 (1~3일)
- 가벼운 발열, 피로, 근육통, 두통, 마른 기침으로 시작합니다.
- 흔히 감기나 독감으로 착각하기 쉽습니다.
- 초기 발현기 (3~5일)
- 기침이 점차 심해지고 가래(흰색, 노란색, 녹색)가 동반됩니다.
- 열이 38도 이상으로 오르며 오한이 나타나기도 합니다.
- 숨이 가빠지거나 계단 오르기가 힘들어지면서 호흡 곤란이 시작됩니다.
- 급성 악화기 (5일 이후)
- 고열이 지속되며, 가슴 통증이 심해집니다.
- 숨을 깊게 들이쉴 때 흉통이 동반되고, 호흡 속도가 빨라집니다.
- 노인 환자의 경우 열보다 기력 저하, 혼돈, 식욕 부진이 먼저 나타나기도 합니다.
- 중증 단계
- 산소포화도(SpO2)가 92% 이하로 떨어지면 응급 상황으로 간주합니다.
- 심한 호흡 곤란, 청색증(입술·손끝이 파랗게 변함), 지속적인 고열, 의식 저하가 나타납니다.
- 이 단계에서는 즉시 응급실 방문이 필요합니다.
감기와 폐렴을 구분하는 포인트
폐렴은 감기와 달리 증상이 더 길고 심합니다. 감기는 보통 5~7일 내 호전되지만, 폐렴은 시간이 갈수록 증상이 심해지고 열도 쉽게 떨어지지 않습니다. 또, 호흡할 때 숨이 차거나 가슴 통증이 있는 경우는 감기보다는 폐렴일 가능성이 높습니다. 특히 노인 분들은 열이 뚜렷하지 않고 기력 저하만 나타날 수도 있어 더 주의가 필요합니다.



폐렴이 생활에 미치는 영향
폐렴은 단순한 호흡기 질환을 넘어서 일상생활에 큰 지장을 줍니다. 숨이 차서 계단을 오르기 힘들고, 기침 때문에 밤에 잠을 설치며, 몸살 기운까지 겹쳐 활동이 어려워져요. 심한 경우 폐 기능 저하, 패혈증 같은 합병증으로 이어질 수도 있습니다. 제가 경험했을 때도 평소보다 몸이 무겁고, 아무 일도 하기 싫을 정도로 기운이 빠졌던 게 기억나요.
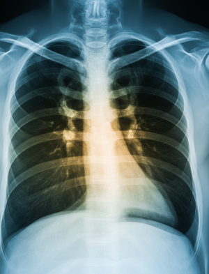
병원에서 확인하는 주요 검사와 진단 과정
폐렴이 의심되면 보통 흉부 X-ray를 먼저 찍습니다. 필요할 경우 CT 촬영으로 더 정밀하게 확인하기도 해요. 혈액 검사로 염증 수치를 확인하고, 가래 검사를 통해 어떤 균이 원인인지 찾습니다. 정확한 진단을 위해서는 단순 증상만으로 판단하지 않고 여러 검사를 종합적으로 진행합니다.
생활 속 관리와 예방 방법
폐렴은 미리 예방하는 것이 무엇보다 중요합니다.
- 폐렴 예방 접종: 특히 65세 이상, 만성질환자는 권장됩니다.
- 손 씻기: 바이러스·세균 감염을 막는 기본 습관이에요.
- 균형 잡힌 식사와 수면: 면역력 강화를 위해 꼭 필요합니다.
- 금연: 흡연은 폐 기능을 떨어뜨리고 폐렴 위험을 높입니다.
- 실내 공기 관리: 건조하지 않도록 가습기를 사용하면 호흡기 건강에 좋아요.



증상 발견 후 대처 전략
기침과 고열이 3일 이상 지속되거나 숨이 차고 가슴 통증이 동반된다면 바로 병원을 방문해야 합니다. 특히 노인이나 기저질환자는 증상이 심하지 않아도 폐렴이 진행될 수 있으니 반드시 검사를 받는 것이 안전합니다. 치료는 항생제, 항바이러스제, 휴식과 수분 섭취가 기본입니다.
폐렴 관련 자주 묻는 질문
1. 폐렴은 감기랑 어떻게 구분하나요?
감기는 보통 5~7일 안에 호전되지만, 폐렴은 증상이 점점 심해지고 기침·발열·호흡 곤란이 동반됩니다.
2. 폐렴은 전염되나요?
세균성·바이러스성 폐렴은 전염될 수 있습니다. 손 위생과 마스크 착용이 중요합니다.
3. 폐렴에 걸리면 꼭 입원해야 하나요?
경증이면 외래 치료가 가능하지만, 산소포화도 저하·심한 호흡 곤란·고열이 지속되면 입원이 필요합니다.
4. 폐렴이 있으면 운동해도 되나요?
급성기에는 절대 안 됩니다. 회복 후 가벼운 스트레칭이나 산책부터 시작하세요.
5. 예방접종은 누구에게 필요하나요?
65세 이상, 당뇨·심장질환·호흡기 질환자, 면역저하 환자에게 권장됩니다.
6. 폐렴은 어린이에게도 위험한가요?
맞습니다. 특히 영유아는 면역력이 약해 합병증으로 이어질 수 있어 주의가 필요합니다.
7. 폐렴이 완전히 회복되려면 얼마나 걸리나요?
경증은 2~3주, 중증은 6주 이상 걸릴 수 있습니다. 기침은 더 오래 지속될 수도 있습니다.
8. 폐렴이 있으면 어떤 음식을 먹는 게 좋을까요?
수분 보충이 중요하며, 기름진 음식보다는 소화 잘 되는 죽, 국물, 비타민이 풍부한 과일과 채소가 좋아요.
9. 폐렴이 재발할 수 있나요?
네, 면역력이 약하거나 기저질환이 있으면 재발 위험이 높습니다. 생활 관리가 필요합니다.
10. 집에서 산소포화도는 몇 % 이하일 때 병원에 가야 하나요?
SpO2가 92% 이하이면 즉시 의료진에게 연락해야 하며, 88% 이하라면 응급실로 가야 합니다.
![]() |
![]() |
![]() |
![]() |
![]() |
![]() |
![]() |
![]() |
![]() |
![]() |
혹시 여러분도 기침과 열이 오래가서 "이상하다" 싶었던 적 있으신가요? 그럴 때는 그냥 참지 말고 병원에서 검사받는 게 가장 안전합니다. 작은 신호를 놓치지 않는 게 건강을 지키는 첫걸음이에요.
![]() |
![]() |
![]() |
![]() |
![]() |
![]() |
![]() |
![]() |
![]() |
![]() |
![]() |
![]() |
![]() |
![]() |
![]() |
![]() |
![]() |
![]() |
![]() |
![]() |
저는 폐렴을 직접 경험해보고 나서 ‘호흡기 증상은 절대 가볍게 생각하면 안 된다’라는 교훈을 얻었어요. 앞으로도 여러분이 제때 증상을 알아차리고 건강을 지키실 수 있도록 더 유용한 정보를 전해드리겠습니다.





























